Các khối u liên kết ác tính chắc như thịt nên gọi là sarcom, ranh giới rõ, thường có hoại tử...
Xét nghiệm này không phát hiện trực tiếp vi khuẩn mà gián tiếp tìm một chất gọi là “kháng thể” tương ứng vớ...
Có nhiều xét nghiệm sinh hóa được dùng để đánh giá chức năng gan nhưng tùy theo từng bệnh cảnh lâm sàng mà ...
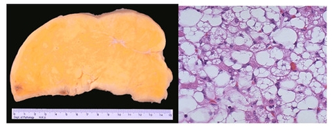
50% số người bệnh gan nhiễm mỡ sẽ bị xơ hóa, trong số này 15% sẽ tiến triển đến xơ gan và 4% sẽ bị ung thư ...
Ung thư tế bào gan (UTTBG) là một trong những loại ung thư thường gặp nhất ở những quốc gia châu Á. Tỷ...
Virus viêm gan có 5 loại gây bệnh chính, đó là virus A, B, C, D và E. Các loại virus này gây bệnh cho mọi l...
Mức độ PGI với giá trị cắt là ≤70 ng/mL và tỷ lệ PGI/II với giá trị cắt ≤ 3 thường được sử dụng trong sàng ...
Xét nghiệm định lượng dấu ấn ung thư SCC huyết tương được chỉ định để chẩn đoán, theo dõi sự tiến triển và ...
Theo Tổ cức Y tế Thế giới (WHO), ung thư tụy (ung thư tụy ngoại tiết chiếm 95%) là loại ung thư phổ biến th...
CEA là một dấu ấn ung thư glycoprotein, được sản xuất từ các tế bào màng nhày của nhiều mô khác nhau, có th...
CEA có thể tìm thấy trong nhiều tế bào khác nhau của cơ thể, nhưng thường liên kết với các khối u nhất định...
Ung thư dạ dày là loại ung thư phổ biến thứ 5 trên thế giới, chiếm 7 % các trường hợp ung thư và đứng thứ 3...