UNG THƯ VÚ
Ung thư vú là gì?
Ung thư vú là một bệnh lý ác tính xuất hiện trong các tế bào ở mô của vú. Những tế bào này thường phát sinh từ các ống dẫn hoặc tiểu thùy ở vú, sau đó có thể lây lan trong các mô hoặc cơ quan, các bộ phận khác của cơ thể.
Ung thư vú là một trong những loại ung thư thường gặp nhất ở nữ giới. Theo thống kê, ung thư vú chiếm tỷ lệ từ 7-10% trong tổng số các loại ung thư ở nữ. Ung thư vú cũng có tỷ lệ di truyền nhất định, thường gặp ở độ tuổi 40 đến 60 tuổi.
Các triệu chứng thường gặp
Triệu chứng thường gặp của ung thư vú là một khối u có thể sờ nắn được bằng tay, có kích thước khoảng từ 1cm trở lên và không đau. Tuy nhiên, cần lưu ý một vài dấu hiệu bất thường khác để phát hiện ung thư vú như:
- Tuyến vú xuất hiện khối u với đặc điểm: kích thước khoảng từ 1cm trở lên, không đau, chắc hoặc cứng, ít di động
- Tiết dịch núm vú, nhất là khi có lẫn máu hoặc có màu hơi đen
- Tổn thương dạng chàm khiến núm vú trở nên đỏ, đóng vảy hoặc loét, khuyết
- Núm vú bị thụt vào trong
- Xuất hiện vết lõm hoặc nếp nhăn kéo lõm bề mặt của tuyến vú
- Tổn thương dạng “da cam” của tuyến vú.
Chẩn đoán ung thư vú bằng những kỹ thuật gì?
- Siêu âm tuyến vú
- Chụp mamo tuyến vú
- Chụp CT tuyến vú
- Xét nghiệm: CEA, CA 153
- Chọc hút kim nhỏ hoặc xét nghiệm mô bệnh học khối u (là tiêu chuẩn vàng).
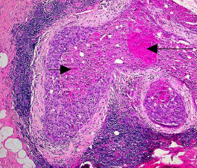
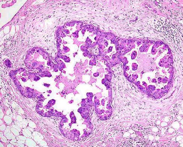
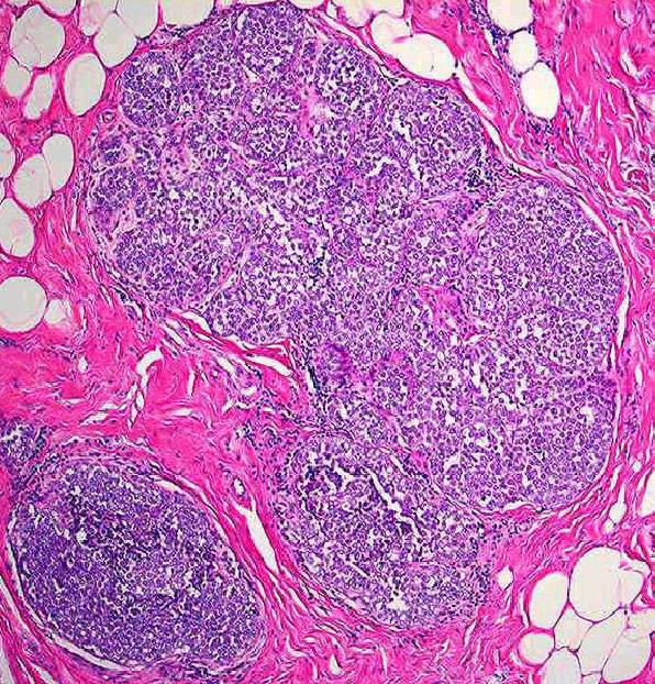
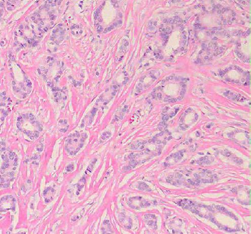
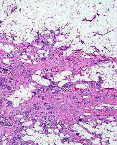
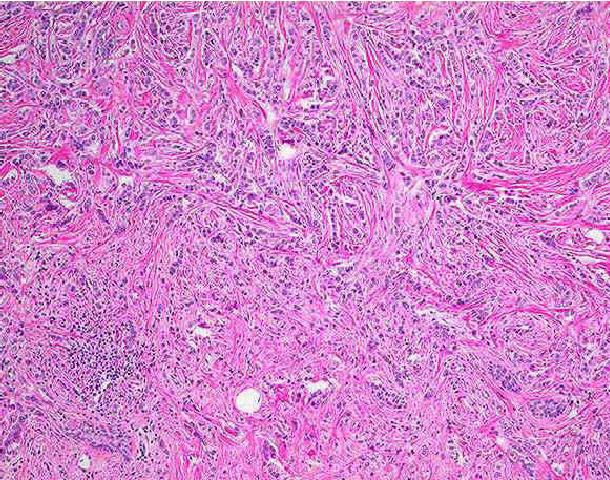
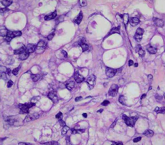
Một số hình ảnh giải phẫu bệnh lý của u biểu mô tuyến vú:

H1: Ung thư biểu mô trứng cá

H2: Ung thư biểu mô nhú tại chỗ

H3: Ung thư biểu mô thùy tại chỗ

H4: Ung thư biểu mô ống xâm nhập biệt hóa rõ

H5: Ung thư biểu mô ống nhỏ

H6: Ung thư biểu mô thùy xâm nhập thể điển hình

H7: Ung thư biểu mô thùy xâm nhập tế bào nhẫn
Các yếu tố nguy cơ hay gặp ở bệnh nhân ung thư vú
- Phụ nữ lớn tuổi
- Tiền sử gia đình: có mẹ, chị, em gái hoặc con gái mắc bệnh ung thư vú
- Chế độ dinh dưỡng không hợp lý dùng nhiều chất béo, rượu, bia
- Có kinh trước tuổi 12, mãn kinh muộn sau tuổi 55
- Dùng thuốc tránh thai, dùng estrogen thay thế
- Có con muộn, không sinh con, không cho con bú.
Tầm soát ung thư vú
- Tự kiểm tra cơ thể của bản thân: Đều đặn mỗi tháng một lần, vào thời điểm vừa chấm dứt kỳ kinh nguyệt (hoặc một ngày cố định trong tháng đối với phụ nữ đã mãn kinh), tự sờ nắn vú kiểm tra hình dáng, màu sắc, phát hiện những u, cục bất thường của vùng ngực. Khi thấy các dấu hiệu bất thường cần được khám ngay tại các cơ sở y tế có uy tín.
- Kiểm tra sức khỏe định kỳ: Khám lâm sàng tuyến vú, siêu âm…

